정확한 진단 · 통증 최소화 · 통합치의학전문의 진료
의료진의 차이가
결과의 차이를 만듭니다
4단계 무통마취 · 미세절개 임플란트 · AI CT 정밀분석으로
정확하고 편안한 진료를 약속드립니다.
서울정플란트치과의원
정플란트 VS 정플란트
어제보다 더 나은 정플란트
어제의 결과에 안주하지 않습니다. 매일 아침 전 의료진이 모여 오늘의 환자분을 위한 최적의 케이스를 연구하고 소통하며, 더 나은 치료 결과를 위해 끊임없이 고민합니다.
환자에게 더 가까운 정플란트
정확하고 빠른 진료, 통증을 최소화한 케어는 기본입니다. 환자분의 상황과 일정, 경제적 부담까지 고려하여 가장 합리적이고 편안한 맞춤형 솔루션을 제안합니다.
무통진료
마취주사부터 통증을
최소화하는 무통마취기법
- 01가글마취를 통한 구강 점막 전체 마취
- 02마취크림을 통한 마취바늘 자입점의 마취
- 03무통마취기와 미세바늘을 통한 초저압 마취
- 041차 저압마취 후 2차 심층마취
모든 환자분께 위 절차를 거친 마취를 시행합니다.


정밀 시술
CT 분석 기반
미세절개 임플란트
CT와 구강내 잇몸뼈의 형태를 분석하여 최적의 임플란트 식립위치를 미리 계산합니다.
이후 절개를 최소화한 임플란트 식립술을 시행하여 통증을 극소화합니다.
수면클리닉
안전하고 편안한 진료
치과 공포증이 있는 환자분께 수면진정제를 통해 공포심을 줄여주고 시술 도중 편안하실 수 있도록 수면진료를 시행합니다.
수면치료는 경구제 복용과 정맥주사 두가지 종류가 있습니다.
환자분의 상황에 맞는 안전한 약물로 편안한 진료를 약속드립니다.

의료장비소개
정플란트만의 첨단 디지털 장비

CT 파노라마 – Eco-X Ai
Ai기능이 탑재된 장비로 환자분의 CT를 자동으로 분석합니다. 저선량의 장비로 방사선 노출 걱정이 없습니다.

3D 광학 스캐너 – 프라임스캔
현존 스캐너중 가장 정확한 정밀도를 지닌 제품입니다. 정확하고 깔끔한 스캐너로 편안한 진료를 약속드립니다.

고압증기멸균기 – 클린스터
전자동 시스템으로 사용이 간단합니다. 1회 사용후 바로 배출하기 때문에 멸균기의 오염을 최소화 합니다.

수술용 무영등 Luvis 300
선명한 광원과 그림자지지 않는 수술환경을 통해 오차없는 수술을 진행합니다.

핸드피스 소독기 QuatrroCare Plus
환자의 구강 내 닿을 기계를 소독합니다. 최고가의 장비를 구비하여 안전하고 깨끗한 진료를 추구합니다.

DSLR 카메라 및 구강카메라
환자분의 현재 상태 및 치료 후 상태를 눈으로 직접 확인 하실 수 있도록 카메라로 촬영하여 설명드립니다.
대표원장 인사말
서울정플란트치과의원의 의료진을 소개합니다.

- 고려대학교 학사
- 경희대학교 치의학전문대학원 석사
- 통합치의학과 전문의
- 대한공중보건치과의사협회 부회장 역임
- 국민구강건강증진 유공자 보건복지부장관 표창
- 서울대학교 치의학교육원 고급임플란트학 수료
- 오스템임플란트 연구 자문위원
- 덴티스임플란트 연구 자문위원
- 풀아치 임플란트(All on X) 회원
- 대한통합치의학회 정회원
- 前) 영월의료원 치과 과장
- 前) 신촌 라이크치과의원 원장
- 前) 지축 새이다온치과의원 원장
- 前) 강남 포샤르치과의원 원장
- 現) 영월 서울정플란트치과의원 원장
치료 사례
정플란트치과 전후사진
개인별 치료 과정을 사례로 소개합니다.
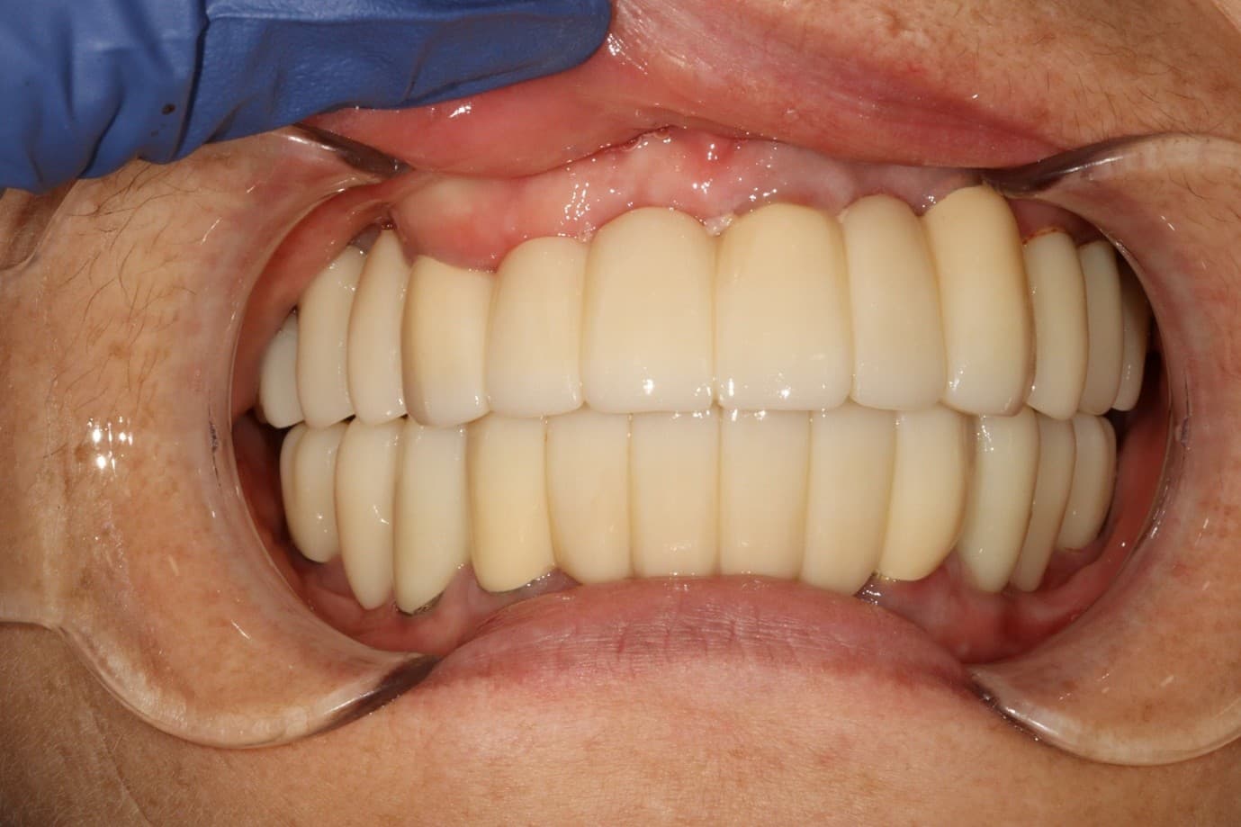
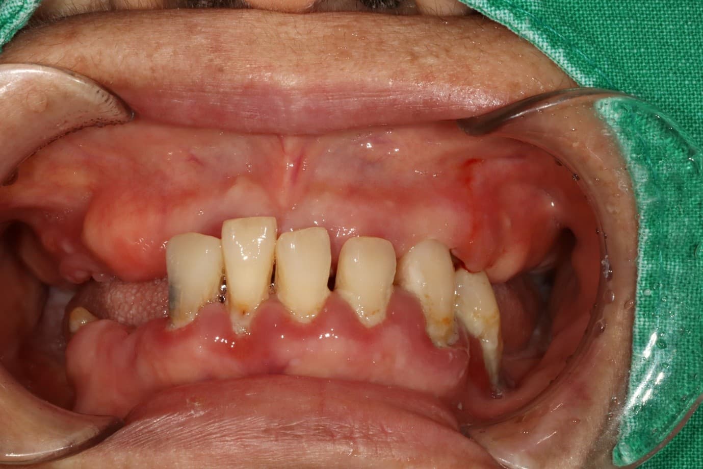
김○님님 치료 사례
구강 사진
치료 전

치료 후

X-ray
치료 전

치료 후

로그인 후 확인 가능합니다
의료법 제56조에 따른 보호 조치
* 환자의 개인정보 보호를 위해 이름을 익명 처리하였습니다. 치료 결과는 개인에 따라 차이가 있을 수 있습니다.
진료 과목
치료는 단순하게, 결과는 확실하게
같은 증상이라도 원인과 필요한 치료 범위는 환자마다 다릅니다. 정플란트는 복잡한 설명보다 이해하기 쉬운 진단과 단계별 계획을 먼저 제시하고, 꼭 필요한 진료를 우선순위에 맞춰 진행합니다.
임플란트, 보존, 보철, 수면진정 치료를 분절적으로 보지 않고 한 흐름으로 연결합니다. 그래서 치료 과정은 단순해지고, 결과는 오래 유지될 수 있도록 설계됩니다.
치과둘러보기
정플란트치과 둘러보기




자주 묻는 질문
FAQ
통증이 무서운데 치료가 가능한가요?+
임플란트 기간은 얼마나 걸리나요?+
치료 후 보증이나 사후관리가 있나요?+
문의하기
상담 문의
작성하신 내용은 치과로 바로 전송됩니다. 개인정보는 상담 목적으로만 사용되며 상담 완료 후 파기됩니다.



